К сожалению, у нас мало кто понимает важность здоровых зубов. «Подумаешь, кариес, – думают некоторые. – Схожу какнибудь, запломбирую». Это «схожу какнибудь» может длиться годами. Зубы продолжают гнить. А потом наступают проблемы со здоровьем: то ангина стала чаще беспокоить, то после отита уши стали хуже слышать, то сердечко стало пошаливать, то суставы ломить. Но опять же мало кто находит связь между гнилыми зубами и другими болезнями. А она есть и самая прямая.
Врачи предупреждают, что игнорирование проблем с зубами может привести к серьезным последствиям для общего состояния здоровья. Прогнивший зуб — это не только эстетическая проблема, но и потенциальный источник инфекции. Бактерии, накапливающиеся в поврежденной области, могут попасть в кровь и вызвать воспалительные процессы в других органах, таких как сердце или легкие. Кроме того, заболевания десен, часто сопутствующие кариесу, могут привести к системным заболеваниям, включая диабет и сердечно-сосудистые расстройства. Специалисты настоятельно рекомендуют регулярно посещать стоматолога и не откладывать лечение, чтобы избежать более серьезных осложнений в будущем. Забота о зубах — это важный аспект общего здоровья, который нельзя недооценивать.

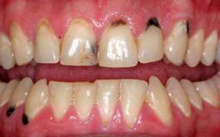
Почему гниют зубы
Многие считают, что гнилые зубы – это только результат большой любви к сладостям. Это не так. Иначе как объяснить тот факт, что даже у некоторых младенцев бывает кариес на только что появившихся зубах. Также гнилые зубы не являются признаком того, что человек − не любитель соблюдать гигиену ротовой полости (но пренебрегать чисткой зубов не стоит).
Проблема прогнившего зуба вызывает множество обсуждений среди людей, и мнения по этому поводу часто расходятся. Многие утверждают, что игнорирование такой проблемы может привести к серьезным последствиям для здоровья. Например, инфекция, возникшая из-за поврежденного зуба, может распространиться на десны и даже затронуть другие органы, такие как сердце или почки. Некоторые делятся личным опытом, рассказывая о том, как запущенные стоматологические проблемы обернулись для них хроническими заболеваниями.
Другие же считают, что современные методы лечения позволяют эффективно справляться с последствиями. Тем не менее, большинство согласны с тем, что лучше предотвратить проблему, чем потом решать ее последствия. Регулярные визиты к стоматологу и соблюдение гигиенических норм — это то, что может помочь избежать не только зубной боли, но и более серьезных заболеваний. В конечном итоге, забота о здоровье зубов — это важный аспект общего благополучия.

Наиболее частыми причинами кариеса являются:
- заболевания внутренних органов;
- генетическая предрасположенность;
- плохая экология;
- наличие химических предприятий возле места проживания;
- дефицит минералов и витаминов в организме;
- злоупотребление продуктами, оказывающими разрушительное действие на эмаль (кислое, холодное и сразу горячее);
- снижение иммунитета.
Чем грозит кариес
Красивая улыбка вызывает восхищение и привлекает взгляды. А вот испорченные зубы «через один» могут привести не только к серьезным проблемам на работе и в личной жизни (вспомните, как неприятно разговаривать с человеком, изо рта которого отвратительно пахнет).
Кариозные поражения зубов могут привести к множеству инфекционных заболеваний верхних дыхательных путей.
Последствия от гнилых зубов могут отличаться в зависимости от того места, где расположена патология. Например, если гниение зуба началось с корня, то гнойное отделяемое в процессе не сможет выходить наружу, что со временем может привести к формированию различных кист, которые можно удалить только хирургическим путем. Если этого не сделать, то можно полностью потерять зуб.
Если заболевание начало развиваться в области десны, то это может привести к возникновению кариеса в пришеечной области соседних зубов. Если не лечить, то зуб и нервы могут полностью сгнить. Как правило, от всего зуба останется один только корень. И появится еще одна проблема: подготовить участок для протеза будет практически невозможно.
Еще одна серьезная проблема, которая вам грозит, если вы не любитель посещать стоматолога, – эндокардит Ослера. При этом заболевании бактерии, которые участвуют в гниении зуба, с кровью переносятся в сердце и вызывают поражение его внутренней перегородки. Вылечить это заболевание можно только хирургическим путем. Но перед операцией вам все равно придется сходить к стоматологу и удалить гнилой зуб – источник инфицирования.
Еще одним последствием больных зубов может стать аллопеция (облысение). Медиками давно замечено, что при поражении кариесом жевательных зубов начинает лысеть макушка человека, а при поражении резцов – височная область.
Очень часто кариес тесно связан с заболеваниями костной системы: артрозами и полиартритами. Огромное количество бактерий, находящихся на гнилом зубе, могут с кровотоком разноситься по всему телу и вызывать инфицирование и заболевание различных органов. А так как возле гниющего зуба наиболее близко расположен мозг, то риск его инфицирования является самым высоким. Все это может привести как минимум к постоянным мигреням, а как максимум – к менингиту.
Но даже если ничего из вышеперечисленного не произойдет, человек все равно будет ощущать постоянное недомогание, так как организм будет регулярно отравляться продуктами распада тканей.
Кто и как лечит кариес
Это только кажется, что лечением зубов должен заниматься только стоматолог. На самом деле для начала нужно выявить причину – почему появился кариес. Это нужно для того, чтобы со временем не возник рецидив. К тому же, если не устранить причину, лечение зуба может быть неэффективным.
Почему боятся стоматологов?
Видимо, это пережиток прошлого. Сейчас лечить зубы – одно удовольствие. В работе стоматологи применяют только новое оборудование и медикаменты. Лечить зубы сейчас не больно и не страшно. Вам даже включат телевизор, и вы сможете посмотреть любимую передачу, пока стоматолог будет лечить зуб.
И еще: есть такие умельцы, которые пытаются лечить зубы сами. Запомните, кариес сможет вылечить только врач! А самолечение может привести к дальнейшему распространению патологического процесса, в результате чего вылечить зуб будет сложнее и дороже.
В целом же лечение кариозных зубов включает в себя следующий порядок:
- рентген (при необходимости), чтобы выявить состояние невидимой части зуба;
- выявление участков воспаления ротовой полости;
- выбор схемы лечения;
- обработка ротовой полости антисептическими препаратами;
- нанесение на десны, пораженные воспалением, кремов, гелей или мазей, обладающих обезболивающим, противомикробным и противовоспалительным действием;
- снятие налета и зубных камней с зубов, информирование пациента о правилах ухода за ротовой полостью;
- взятие мазка из пораженного участка зуба. По результатам мазка врач сможет определить тип возбудителя заболевания и назначить антибиотики, которые будут максимально эффективными в данном случае;
- пломбирование зубов, пораженных кариесом, и наложение на зубы аппликаций из фторсодержащих паст. Если кариес поразил большую площадь зуба, стоматолог может удалить пораженную ткань с помощью бормашины, после чего провести наращивание зуба;
- ополаскивание ротовой полости препаратами, оказывающими противовоспалительное и антибактериальное действие. Если реставрировать зуб не удается, врач удалит зуб, а на его место порекомендует поставить протез. Бояться протезов не стоит, так как современные качественные зубные протезы сложно отличить от настоящих зубов, они имеют натуральный внешний вид, не натирают и не давят на десны, восстанавливают прикус и помогают добиться равномерного распределения нагрузки во время жевания. Благодаря последнему пациент сможет избежать многих проблем с суставами челюсти в будущем.
СОВЕТ: регулярно проходите осмотр у стоматолога. Даже если ничего не беспокоит, посещайте его не реже одного раза в шесть месяцев.
Вопрос-ответ
Какие проблемы со здоровьем могут возникнуть из-за прогнившего зуба?
Прогнивший зуб может привести к различным проблемам, включая инфекции, которые могут распространиться на десны и челюсть. Это может вызвать периодонтит, а также повлиять на общее состояние здоровья, приводя к системным заболеваниям, таким как диабет и сердечно-сосудистые заболевания.
Как предотвратить прогнивание зубов и связанные с этим проблемы?
Для предотвращения прогнивания зубов важно соблюдать правила гигиены полости рта: регулярно чистить зубы дважды в день, использовать зубную нить и полоскания. Также рекомендуется посещать стоматолога не реже двух раз в год для профессиональной чистки и осмотра.
Когда следует обратиться к стоматологу при наличии проблем с зубами?
Необходимо обратиться к стоматологу при первых признаках проблемы, таких как боль, чувствительность к горячему или холодному, изменение цвета зуба или наличие неприятного запаха изо рта. Чем раньше будет начато лечение, тем меньше вероятность возникновения серьезных осложнений.
Советы
СОВЕТ №1
Регулярно посещайте стоматолога для профилактических осмотров. Это поможет выявить проблемы на ранних стадиях и избежать серьезных осложнений, связанных с прогнившими зубами.
СОВЕТ №2
Следите за гигиеной полости рта: чистите зубы дважды в день и используйте зубную нить. Это поможет предотвратить образование кариеса и сохранить здоровье зубов и десен.
СОВЕТ №3
Обратите внимание на свое питание. Употребляйте больше продуктов, богатых кальцием и витаминами, и ограничьте количество сахара, чтобы снизить риск развития кариеса и других стоматологических проблем.
СОВЕТ №4
Не игнорируйте симптомы, такие как боль или чувствительность зубов. Чем быстрее вы обратитесь к стоматологу, тем меньше вероятность возникновения серьезных проблем со здоровьем.
