Флебография: суть обследования, применение и показания, проведение, результаты
Современные ангиология и флебология (наука о сосудах вообще и о венах, в частности) имеют много актуальных проблем в виде большого количества заболеваний, сложно поддающихся диагностике с помощью только лишь клинических проявлений и визуального осмотра пациента. Другими словами, предварительный диагноз врача-флеболога, хирурга, нейрохирурга, гинеколога или врача другой специальности обязательно следует подтверждать всеми возможными способами, позволяющими достоверно визуализировать пораженную область. Лидирующую позицию при этом в обследовании пациента наряду с ультразвуковой диагностикой занимают рентгенологические методы.
Однако суть рентгена такова, что он отлично визуализирует плотные образования в организме (кости, новообразования, инфильтрацию в легких), но практически не “видит” сосуды. Ученые и врачи придумали хороший и практически безопасный способ решения данной проблемы – они предложили вводить в сосудистое русло вещества, которые являются рентгеноконтрастными. Данные препараты не пропускают рентгеновские лучи, благодаря чему врач получает снимок, реально отображающий проходимость, форму, структуру и некоторые другие показатели исследуемого сосуда. Такой метод исследования в ангиохирургии получил название ангиографии, а применимо к венам – контрастной флебографии (венографии).
Итак, флебография (венография) – это исследование венозного русла пациента с применением рентгеноконтрастного вещества, позволяющего получить определенную рентгенологическую картину, а после серии необходимых снимков выводящегося из организма в течение короткого периода времени. При исследовании того или иного участка венозной системы препарат может вводиться в вены разной локализации, но путь введения всегда внутрисосудистый. После поступления препарата в кровь проводится стандартное рентгенологическое исследование (флебография), либо исследование с помощью послойных “срезов”, получаемых при компьютерной томографии (КТ-флебография) или магнитно-резонансной томографии (МР-флебография).
основной этап флебографии выглядит как обычная КТ или МРТ
Из преимуществ контрастной флебографии можно отметить доступность методики, высокую информативность, малую травматичность и практически полное отсутствие болезненности для пациента, а также хорошую оснащенность современных лечебных учреждений необходимой аппаратурой. Даже КТ- или МР-флебография в настоящее время доступна в любых клиниках, имеющих томографы.
Недостаток у данной методики только один – возможность возникновения аллергических реакций на рентгеноконтрастный препарат. К счастью, такие осложнения довольно редко возникают, поэтому опасаться проведения процедуры только лишь из-за риска аллергии не стоит.
Какая бывает флебография?
Исследовать с помощью данной методики можно практически любой участок венозной системы человека.
Но наиболее часто флебография применяется при диагностике заболеваний вен нижних конечностей, вен малого таза, а также вен, расположенных в головном мозге. В последнем случае чаще применяется КТ-флебография и МРТ головного мозга.
В остальных участках венозного русла (верхние конечности, грудная клетка) патологические процессы достаточно ярко проявляются клинически, легко диагностируются с помощью допплерографии и дуплексного сканирования сосудов, поэтому флебография при тромбозе, к примеру, подключичного или подмышечного венозных сегментов применяется редко, в основном с целью определения объема оперативного вмешательства. На некоторых нюансах флебографии есть смысл остановиться подробнее.
Флебография нижних конечностей
В каких случая проводят?
флебографический снимок при варикозе вен голени
Исследование вен нижних конечностей с контрастом показано при необходимости подтвердить диагноз, если с помощью функциональных проб и/или УЗИ сосудов получены сомнительные результаты. Обычно флебография используется нечасто, а только в случаях, которые действительно вызывают сомнения у врача в плане диагностики. Предполагаемые заболевания при этом таковы:
- Тромбоз глубоких вен голени и бедра,
- Варикозная болезнь нижних конечностей (комплексно оценивается функция клапанного аппарата поверхностных и глубоких вен),
- Врожденные аномалии строения венозных сосудов,
- Предполагаемое использование вены в качестве шунта, например, при аорто-коронарном шунтировании.
Как подготовиться к процедуре?
Флебография вен нижних конечностей выполняется в отделении рентгенологических исследований специализированного учреждения. Подготовка к исследованию заключается в соблюдении определенных правил. Так, накануне процедуры можно слегка перекусить, но утром обычно разрешается выпить только стакан воды. Это связано с тем, что на введение контраста у пациента может развиться нежелательная реакция в виде тошноты, и для предупреждения рвоты рекомендуется выполнение рентгеноконтрастного исследования натощак.
Проведение процедуры
Для выполнения флебографии вен нижних конечностей пациент направляется в рентгенологическое отделение. Перед введением контраста пациент укладывается на стол, после чего врач определяет подкожную вену голени или стопы, в которую будет введен препарат. Для этого выполняется прокол вены (венепункция) или небольшой ее надрез под местной анестезией (венесекция). Далее катетером вводится около 20 мл одного из применяемых в данной клинике препаратов – омнипака, ультрависта и др. При необходимости на исследуемую конечность накладывается жгут для лучшего распространения вещества по венозной системе конечности. После серии рентгеновских снимков жгут снимается, в вену пациенту вводится небольшое количество физ. раствора, а пациент ожидает результата обследования.
пример нацеленного введения рентеноконтрастного вещества
Длительность процедуры составляет от 30-40 минут до часа, не вызывая в целом у пациента болезненных ощущений. Тем не менее, у части пациентов может отмечаться боль при проколе вены, а также легкая тошнота и головокружение после введения контраста.
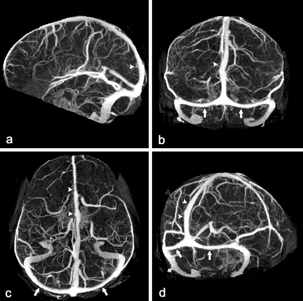
Флебография головного мозга
Применение
флебографическая визуализация вен и венозных синусов мозга
Флебография (венография) головного мозга выполняется исключительно с помощью установки МРТ или КТ, без введения рентгеноконтрастного препарата. Это связано с тем, что получение серии прицельных снимков, выполняемых послойно, обладает достаточной информативностью и без введения контраста.
Данный вид исследования позволяет подтвердить или исключить патологию венозных синусов, а также поверхностных и глубоких вен головного мозга. Такая патология может быть обусловлена различными заболеваниями (воспалительные – менингоэнцефалит, опухоли, травмы головного мозга, заболевания системы крови), но опасность их заключается в возникновении тромбозов вен указанной локализации. Как правило, при флебографии исследуются венозные синусы головного мозга, вена Галена, внутренние вены головного мозга.
Подготовка к процедуре
Особой подготовки к проведению МРТ-венографии головного мозга не требуется. Принимать пищу разрешается в любое время, в том числе и завтракать в день исследования. Единственное, о чем следует позаботиться пациенту перед МРТ – это о том, чтобы снять с себя все металлические предметы (часы, украшения, очки), а также оставить за пределами кабинета кредитные карты, съемные зубные протезы, шариковые ручки, слуховой аппарат и некоторые другие предметы. В том случае, когда у пациента имеются имплантированные ферромагнитные (способные намагничиваться при воздействии сильного магнитного поля) предметы медицинского назначения, например, электрокардиостимуляторы, стенты, сосудистые клипсы, слуховые аппараты, ему абсолютно противопоказано проведение МРТ-флебографии. В этом случае допускается выполнение исследования с помощью КТ-установки.
Как проводится исследование?
Венография головного мозга выполняется как обычное исследование с помощью томографа. Пациента приглашают пройти в кабинет с МР-установкой и укладывают его на подвижный стол, который будет постепенно двигаться в центр кольца, образованного магнитом. В это время специальная аппаратура улавливает и регистрирует сигналы, отраженные от внутренних структур головного мозга, в том числе и от сосудов, в результате чего формируется определенная картина, позволяющая подтвердить или исключить предварительный диагноз. В целом исследование не вызывает дискомфорта у пациента, а по времени составляет от 20 до 30 минут.
Флебография вен малого таза
Показания к процедуре
При наличии такой патологии, как варикозное расширение вен малого таза, встречающееся в основном у женщин, для уточнения диагноза может быть использована чрезматочная флебография. Варикозно расширенные вены чаще локализуются в области яичников и связок матки, а также могут привести к развитию осложнений – к тромбофлебиту и кровотечению. Именно поэтому так важно вовремя установить диагноз и начать лечение у пациенток с хроническими тазовыми болями.
Данное исследование основано на введении рентгеноконтрастного вещества в стенку матки, с последующим распространением контраста по венозной сети яичников и маточных труб. Благодаря исследованию врач может получить представление о клапанном аппарате вен, о скорости опорожнения вен от контраста, о наличии тромботических наложений в просвете вен малого таза при неинформативности ультразвуковых методов исследования. Поэтому чрезматочная флебография является дополнительным, а не основным методом исследования, и не применяется широко в рутинной практике врачей-гинекологов.
Как правильно подготовиться к процедуре?
Подготовка к исследованию, по аналогии с любым рентгеноконтрастным исследованием, предполагает ограничение употребления пищи накануне исследования в связи с возможной тошнотой на введение препарата. В день исследования допускается употребление жидкости.
Проведение исследования
Чрезматочная флебография является инвазивным методом исследования, поэтому может вызвать определенный дискомфорт у пациентки. В процессе гинекологического осмотра “в зеркалах” в шейку матки вводится проводник, который продвигается до дна матки. Опасность перфорации (прободения) стенки матки будет практически сведена к нулю, если используются проводники из фторопласта, а не из металла. После достижения проводником дна матки через него вводится катетер с иглой на конце и осуществляется укол в маточную стенку не более, чем на 4 мм. Далее по катетеру вводится контраст (как правило, препарат кардиотраст), и уже через 10-20 секунд выполняются рентгеновские снимки с последующей их интерпретацией. В целом процедура занимает не более 30 минут.
Флебография для мужчин
Флебографическое исследование вен для лиц мужского пола также активно проводится для диагностики и контроля лечения варикозного расширения вен яичка и семенного канатика – варикоцеле. Пример такого исследования – в ролике ниже:
Когда не рекомендуется выполнять флебографию?
Противопоказаниями для введения контраста в просвет вены являются наличие беременности и аллергическая реакция на йод, так как йод имеется в составе рентгеноконтрастных препаратов. Однако, в случае с беременностью вопрос о проведении исследования может решаться индивидуально, особенно если польза для матери превышает потенциальный риск для плода. Кроме этого, не рекомендуется введение контрастных веществ пациентам с тяжелыми стадиями хронической почечной и печеночной недостаточности.
При планировании МРТ-исследования должны быть исключены следующие противопоказания:
- Имплантированные металлические предметы (при воздействии магнитного поля на такой предмет его функции нарушаются, и аппарат может выйти из строя),
- Ожирение с массой тела более 120 кг,
- Беременность,
- Клаустрофобия (боязнь замкнутых помещений).
Проведение исследования пациентам с неферромагнитными устройствами, например, с протезированными суставами, со стальными клипсами, наложенными на сосуды, а также с инсулиновыми помпами, проводится после изучения врачом технического паспорта изделия, которое было имплантировано.
Интерпретация результатов
Все рентгеновские, МРТ- или КТ-снимки, полученные в результате обследования, должны интерпретироваться только врачом рентгенологом. Полученное заключение передается лечащему врачу пациента, направившему его на процедуру флебографии.
пример результатов КТ-флебографии ног, сделанной для более эффективной подготовки к операции флебэктомии
В протоколе флебографии нижних конечностей при нормальной рентгенологической картине можно увидеть такие фразы, как функция клапанного аппарата вен сохранена, проходимость вен в норме, дефектов наполнения или «обрыва» контраста не обнаружено. В случае наличия тромбоза указанные изменения присутствуют, обусловленные полной или частичной непроходимостью венозного просвета для контраста.
Относительно МРТ-флебографии головного мозга можно сказать, что протокол обследования сложный, со многими нюансами, понятными только специалистам. В случае отсутствия патологических образований в заключении указывается соответствующая фраза; в случае наличия – указываются локализация, размеры и топографическое соотношение патологического образования и здоровых тканей.
При проведении чрезматочной флебографии могут быть выявлены варикозно расширенные вены малого таза, тогда тоже выдается подробная их характеристика. Развитие тромбофлебита и флеботромбоза также проявляется обрывом и дефектом наполнения контраста.
Возможны ли осложнения после процедуры?
Риск возникновения осложнений при флебографии существует, хоть и минимальный. Чаще других встречается аллергическая реакция на контрастный препарат. Профилактикой осложнений является тщательный сбор аллергоанамнеза у пациента, так как при наличии аллергии на йод исследование противопоказано, или показано введение препаратов, не содержащих ионы йода.
При флебографии нижних конечностей возможно развитие инфекционно-воспалительных осложнений в месте пункции вены. Профилактикой является соблюдение правил асептики и антисептики во время процедуры, а также тщательная стерилизация используемого инструментария.
МРТ и КТ головного мозга в принципе не сопровождается какими либо осложнениями.
Чрезматочная флебография теоретически может привести к прободению стенки матки, но такие случаи являются казуистическими. Профилактика заключается в использовании современных инструментов, в частности, фторопластового проводника вместо металлического.
Стоимость исследования
В том случае, когда пациент не желает выжидать плановую очередь на обследование, он может выполнить процедуру по платным услугам. Также этот вариант рассматривается, когда явной необходимости в исследовании нет, но врач может рекомендовать эту процедуру, чтобы обезопасить пациента от не вовремя и не точно установленного диагноза. Например, когда клинических данных больше в пользу отсутствия тромбоза голени, к примеру, но и опровергнуть диагноз с полной уверенностью врач не в силах.
Стоимость флебографии различается в разных клиниках и зависит от вида проводимого исследования. Так, цена флебографии нижних конечностей составляет от 8 тыс руб, МРТ или КТ от 5 тыс руб и выше, чрезматочной флебографии – до 18 тыс руб.
Венография (флебография) — метод диагностики состояния вен
Людям, которые имеют проблемы с венозными сосудами, необходимо пройти специальное обследование. Пациенты, которым врач назначил флебографию, спрашивают: «Что это такое?», «Где делают?», «Какова стоимость венографии?». Эти и другие вопросы рассматриваются далее.
Общее описание метода диагностики
Венография – это инструментальный метод исследования, который рутинно используется в мировой медицинской практике. На латинском языке это название звучит как флебография. Его суть заключается в визуализации венозного русла посредством рентгеновского излучения. Для детального изучения состояния вен на любом участке организма используется введение контрастирующего вещества. Это одна из разновидностей ангиографии.
По-другому рентгеноконтрастная флебография называется МРТ флебография. Венографию можно сделать в любой клинике, где есть магнитно-резонансный томограф с высокой разрешающей способностью. Отдельно проводится визуализация вен малого таза, нижних конечностей, мозговых венозных синусов. Стоимость зависит от объёма исследования. Например, цена МР флебографии венозных мозговых синусов колеблется от 4500 до 5500 руб.
Венография имеет ряд преимуществ. Метод отличается высокой точностью и информативностью, при этом он малоинвазивный, атравматичный. Единственный недостаток флебографии – это необходимость введения контраста. Это вещество представляет собой радиоактивные изотопы йода. Для большинства людей оно безопасно, но вот у аллергиков может вызвать сильнейшую аллергическую реакцию.
Показания к проведению
Проведение венографии назначается врачом. Показаниями к рентгенконтрастному исследованию венозного русла являются:
- наличие сердечных аритмий;
- подготовка к большому оперативному вмешательству;
- хирургические манипуляции на сосудах венозного русла;
- недостаточность сердечной функции;
- оценка результатов склерозирующей терапии;
- тромбофлебит, тромбоз;
- оценка последствий тромбофлебита, тромбоза;
- варикоз любой локализации;
- выявление места расположения жировых бляшек при атеросклерозе;
- определение участков частичной или полной окклюзии.
Например, МРТ вен нижних конечностей поможет выявить участки варикозного расширения венозных сосудов, определить наличие тромбов. МР венография сосудов головного мозга показывает адекватность мозгового кровотока. Помимо этих показаний, венография проводится при любых заболеваниях, связанных с уносящими сосудами. Исследование позволяет определить локализацию, распространённость, степень тяжести патологического процесса.
Как проходит процедура
После того как врач назначил прохождение венографии, пациент должен дать письменное согласие на проведение исследования. Перед этим медицинский работник должен в доступной форме рассказать о том, как будет проходить флебография, разъяснить возможные риски, осложнения.
Обследование длится около 30 минут. Перед началом флебографии производится забор крови для оценки параметров коагуляции. Пациент занимает горизонтальное положение. На область визуализации накладывается давящая повязка. С помощью перфузора через катетер в вену медленно подается контрастирующий агент, который с током крови разносится по венозному руслу. Медицинский специалист фиксирует все происходящее на мониторе, параллельно выполняя рентген-фотографии. После окончания визуализации подача контраста прекращается, начинается внутривенная инфузия раствора натрия хлорида. Затем катетер удаляется из сосуда.
Флебография хороша тем, что при хорошем самочувствии человек может пойти домой уже через два часа после прохождения обследования. Все время после флебографии, которое пациент проводит в клинике, он находится под наблюдением медицинского персонала. При возникновении осложнений больному оказывается неотложная помощь.
Подготовка к обследованию
Хоть флебография не требует особой подготовки, некоторые условия нужно соблюсти. Последний приём пищи должен быть не ранее, чем за 4–6 часов до начала обследования. Питьевой режим никак не ограничивается. Мочевой пузырь желательно опорожнить непосредственно перед процедурой.
Перед тем как пройти в кабинет, где находится магнитнорезонансний томограф, необходимо снять все украшения, аксессуары из металла. Также следует оставить за дверью банковские карты, мобильные телефоны, аппарат для улучшения слуха. Если у больного внутри тела есть предметы, которые могут намагничиваться (водители сердечного ритма, аппараты для улучшения слуха, титановые пластины) рентгенконтрастная флебография на аппарате МРТ ему противопоказана. Здесь на помощь придёт компьютерный томограф, который не излучает сильного магнитного поля.
Особое внимание следует уделить проведению аллергологической пробы на контрастное вещество. Для этого 0,5 мл контраста вводится под кожу предплечья. Оценить результат можно уже через несколько минут. Аллергия проявляется покраснением области введения, появлением зуда. Редко возможно ухудшение общего состояния больного. На практике аллергологические пробы рутинно не используются. Они проводятся только у тех пациентов, которые в анамнезе имеют аллергию на йод или другие лекарственные препараты на его основе. При этом риск осложнений минимален.
Если у пациента определяется аллергическая реакция на изотопы йода, проведение МРТ-флебографии не представляется возможным. Исследование лучше провести с помощью компьютерной томографии.
Противопоказания
Магнитно-резонансная флебография имеет ряд противопоказаний. Нельзя проходить это исследование лицам, имеющим в анамнезе аллергию на йод. При невыполнении этой рекомендации имеется очень высокий риск осложнений. Противопоказано выполнение венографии женщинам, вынашивающим малыша. Но каждый случай разбирается индивидуально. Во главу угла ставится польза для мамы, которая должна превышать риски для развивающегося плода.
Пациентам с тяжелыми нарушениями функции печени и почек противопоказано введение йодного контраста – это может усугубить проблему. Нельзя выполнять флебографию людям, которым имплантированы устройства, изготовленные из намагничивающихся металлов (зубные коронки, водители сердечного ритма, слуховые аппараты). Магнитное поле нарушает их работу.
Если у больного имеются суставные протезы, сосудистые клипсы, помпы для подачи инсулина, проведение процедуры возможно. Перед этим врач должен тщательно изучить технический паспорт приспособления, находящего внутри тела исследуемого. Кроме этого, флебография не выполняется лицам, имеющим массу тела более 130 кг, имеющим боязнь замкнутых пространств.
Венография (рентгенконтрастная флебография) современный метод исследования, который позволяет оценить состояние венозной сети на любом участке организма. Перед тем как пройти эту процедуру, необходимо получить консультацию врача. Важно исключить все противопоказания, а также оценить риск возникновения аллергических проявлений на введение контрастирующего агента.
Флебография с контрастом
Используйте навигацию по текущей странице
Контрастная флебография (венография, восходящая контрастная флебография или контрастная венография) — это рентгенологическое исследование глубоких или поверхностных вен с использованием контрастного вещества, которое обеспечивает изображение кровеносного сосуда. Флебография определяет проходимость глубоких вен, наличие тромбов, функцию клапанов и позволяет в целом оценить состояние глубоких вен.
Контрастная флебография чаще всего применяется либо в ходе эндоваскулярной операции на глубоких венах (ангиопластика или установка кава-фильтра). Ретроградную флебографию мы используем для оценки состоятельности венозных клапанов при планировании операции по поводу рефлюкса венозного оттока после венозного тромбоза.
Контрастная флебография в Инновационном сосудистом центре
Флебография является основным методом диагностики состояния вен во время проведения сосудистой операции. Для определения показаний к вмешательству мы чаще используем малоинвазивные технологии, такие как МСКТ или МРТ вен. В нашей клинике флебография применяется так же для оценки функции клапанов глубоких вен при посттромботической болезни. На основании этих данных мы планируем вмешательство на глубоких венах.
Противопоказания
- Тяжелая почечная недостаточность, так как контраст может негативно подействовать на почки.
- Беременным женщинам, потому что воздействие ионизирующего излучения может нанести вред плоду.
- Люди с аллергией на йод могут получить аллергическую реакцию на контрастные красители на основе йода.
Подготовка
- В течение четырех часов перед исследованием нельзя есть, а пить можно только воду.
- Пациенты, у которых есть аллергия (в частности на йод) или уже была реакция на контраст, должны сообщить об этом врачу.
- Для успокоения пациента может быть назначено седативное средство.
- Вас могут попросить соблюдать определенные диетические ограничения перед исследованием, в зависимости от конкретной процедуры.
- Сообщите своему врачу о лекарствах, травах или добавках, которые вы принимаете. Вам может быть рекомендовано прекратить прием некоторых из этих препаратов перед исследованием.
Как проходит диагностика
Во время процедуры пациент лежит на специальном рентгеновском столе. Область, в которую будет вставлен катетер очищается (обычно это вена на руке, чтобы во время процедуры можно вводить любые необходимые лекарства). Иногда вводится местная анестезия.
Через катетер доставляется раствор контраста. Инъекция красителя вызывает ощущение тепла, которое может распространяться по телу. Контраст также может вызвать легкую тошноту. Около 18% пациентов испытывают дискомфорт от контрастного раствора. Чтобы заполнить глубокую венозную систему красителем, плотную ленту (или жгут) иногда накладывают вокруг лодыжки, или же конечности могут быть наклонены. Пациенту предлагается держать ногу неподвижно. Врач наблюдает за движением раствора через вену с помощью флюороскопа. В то же время делается серия снимков.
Когда исследование закончено, физиологический раствор вводится в тот же катетер, чтобы очистить вены от контраста, затем катетер удаляют, а на место инъекции накладывается повязка.
Особенности флебографии (по месторасположению исследуемых вен):
Венография нижней конечности: пациент позиционируется, опираясь на наклонный рентгеновский стол. Стол наклонен так, чтобы ноги были подняты либо опущены. Катетер вводится в выбранную ногу либо в руку. Процедура может занять от 30 до 45 минут.
Надпочечниковая флебография: пациент лежит на спине на рентгеновском столе. Катетер вводится в бедренную вену. Под руководством рентгеноскопической визуализации он тщательно ориентируется либо на почечные, либо надпочечные вены в брюшной полости. Процедура занимает около 1 часа.
Абдоминальная флебография: пациент лежит на спине на рентгеновском столе. Катетер вводится в бедренную артерию. Процедура занимает около 1 часа.
После диагностики
После флебографии необходимо наблюдение в клинике не меньше суток. В зависимости от процедуры может быть рекомендовано отдыхать в постели в течение определенного периода времени.
Возможные осложнения
Флебография может вызывать осложнения, такие как флебит, повреждение тканей и образование тромбоза глубоких вен в здоровой ноге. Осложнения встречаются довольно редко, но их надо учитывать при планировании лечения, чтобы риск исследования не превосходил риск заболевания, по поводу которого оно проводится.
Редкий побочный эффект (до 1% случаев) серьезная аллергическая реакция на контрастный краситель. Обычно она проявляется через 30 минут после инъекции красителя и требует медицинской помощи.
Возможные риски включают образование тромба в вене, кровотечение, повреждение кровеносных сосудов или инфекцию в месте введения катетера.
Некоторые люди могут испытывать аллергическую реакцию на контрастный краситель на основе йода. Это может вызывать такие симптомы, как тошнота, чихание, рвота, крапивница, а иногда и угрожающая жизни реакция, называемая анафилактическим шоком (особенно у пожилых пациентов с хроническим обезвоживанием или легкой почечной недостаточностью).
Флебография нижних конечностей:
- Чтобы выявить и найти сгустки крови в глубоких венах ног (тромбоз глубоких вен).
- Чтобы отличить тромб, от опухолевого процесса (прорастания опухоли по венам).
- Оценить врожденные венозные пороки развития.
- Чтобы оценить компетентность клапанов в венах ног.
Почечная флебография:
- Для обнаружения и оценки тромбов, опухолей или аномалий в почечных венах.
- Взять образцы крови из вен почек для оценки вазоренальной гипертензии (повышенное кровяное давление из-за сужения почечной артерии).
Надпочечниковая флебография:
Чтобы получить образцы крови из вены надпочечников, для помощи в выявлении таких заболеваний, как синдром Кушинга (повышенная секреция гормона кортизола) и феохромоцитома (опухоль, с повышенной секрецией гормонов адреналина или норадреналина).
Портальная флебография:
Диагностировать и оценить портальную гипертензию (высокое давление в воротной вене).
Обнаружить тромб в портальной или селезеночной вене.
Оценить прогрессирование цирроза печени.
Оценить проходимость шунтов, которые были выполнены для лечения портальной гипертензии (портально-системные шунты).
Флебография сосудов нижних конечностей: в чем особенности
Инструментальные методы обследования на сегодняшний день являются бесценными помощниками врачей-клиницистов. Большинство из них дает бесценную информацию, которая недоступна обычному осмотру пациента. Флебография сосудов нижних конечностей стала настоящей палочкой-выручалочкой для сосудистых хирургов и флебологов. Несмотря на некоторые нюансы в исполнении, эта процедура пользуется популярностью у медиков благодаря той информации, которую удается получить с ее помощью.
Флебография: что это такое
Флебография, или венография – рентгенологический метод исследования, при котором визуализируются венозные сосуды. Сами по себе они не являются рентгеноконтрастными, то есть поглощают рентгеновские лучи и не видны на снимке. Нивелировать этот недочет помогает контрастное вещество, которое способно отражать лучи. Оно вводится внутрь вены нижней конечности и разносится по ней с током крови. Далее выполняется серия снимков. Как итог, получают изображение на экране – рентгеноскопия, и на пленке – рентгенография.
В зависимости от методики проведения флебография нижних конечностей может быть прямой и внутрикостной. Первая еще называется внутривенной. При ее проведении контраст вводится непосредственно в вену. Если выполняется вторая методика, препарат вводится в губчатое вещество костей ног, откуда с током крови он попадает в кровеносное русло. Оба эти вида одинаковы по эффективности, но внутрикостная методика требует обезболивания и несколько сложнее в исполнении. В связи с этим внутривенная флебография получила более широкое распространение.
Показания к проведению обследования

- диагностика врожденных пороков вен конечностей;
- травмы, при которых подозревается нарушение целостности венозного русла;
- острый тромбофлебит;
- посттромбофлебитический синдром;
- закупорка в системе верхней полой вены;
- подозрение на закупорку глубоких вен нижних конечностей;
- дифференциальная диагностика нарушений кровотока в венозном русле;
- варикозное расширение вен.
Последнему показанию следует уделить отдельное внимание. Кроме того, что варикоз сам по себе является показанием к проведению венографии, он часто осложняется тромбофлебитами и тромбозами. Так как исследование дает представление не только о состоянии поверхностных сосудов, но и глубоких, оно обязательно проводится тем пациентам, которые являются кандидатами на оперативное вмешательство.
Подготовка к процедуре
Перед проведением процедуры пациенту необходимо объяснить такие моменты:
- диагностические возможности метода;
- почему это исследование будет полезно именно в его случае;
- особенности проведения процедуры;
- возможные неприятные ощущения во время обследования.
Необходимо изучить аллергологический анамнез больного, установить переносимость йода, рентгеноконтрастных веществ, продуктов, которые в большом количестве содержат йод. Также исследуемого предупреждают о возможных побочных эффектах и о том, что он обязан сообщить доктору о неприятных симптомах. Флебография сосудов конечностей проводится только с письменного соглашения пациента или его родственников.
Венография нижних конечностей проводится натощак. По показаниям больному назначаются седативные препараты. Непосредственно перед флебографией необходимо освободить мочевой пузырь и раздеться ниже пояса. Из дополнительных обследований пациенту проводятся общеклинические анализы крови и мочи, коагулограмма, биохимический анализ крови. По показаниям исследуется выделительная функция почек.
Проведение флебографии сосудов
Пациента располагают на рентгенологическом столе. Ногу просят расслабить и не двигать ею. В области лодыжек на голень накладывают венозный жгут. Он необходим для лучшего заполнения сосудов нижних конечностей контрастным веществом. Затем пунктируют поверхностную вену на тыльной стороне стопы. В сосуд вводят физиологический раствор. После него, в течение 90-180 с вводят контраст. За распределением контраста следят ренгеноскопически. Одновременно при флебографии делают прицельные снимки в прямой и боковой проекциях разных отделов ноги – голени, колена, бедра, паха. После снятия жгута в вену снова вводят физраствор. Это ускоряет выведение контраста. После того как ренгеноскопически будет подтверждено отсутствие контраста в сосудах, иглу извлекают. На место укола накладывают давящую повязку.

После флебографии нижних конечностей следят за возможными аллергическими проявлениями, за местом укола. При интенсивных болевых ощущениях назначают нестероидные противовоспалительные средства – ибупрофен, диклофенак, нимесулид. Для ускорения выведения контраста назначают обильное питье. Обо всех неприятных последствиях необходимо информировать доктора.
Во время проведения флебографии врач фиксирует такие параметры:
- проходимость глубоких и поверхностных вен нижних конечностей;
- наличие тромбов и эмболов;
- присутствие врожденных и приобретенных пороков венозного русла;
- нарушение целостности сосудов;
- состояние венозно-мышечного насоса;
- функциональные возможности венозных клапанов;
- наличие обратного тока крови.
Противопоказания и условия проведения исследования
Флебография должна проводиться только высококвалифицированными специалистами в условиях стационара. Персонал должен знать не только технику проведения обследования, но и уметь оказывать неотложную помощь при осложнениях. Оптимально, если в клинике, где проводится флебография на сосудах в нижних конечностях, оборудовано отделение реанимации и интенсивной терапии.
Противопоказания к флебографии:
- аллергические реакции на йод и применяемое рентгенконтрастное вещество;
- хронические заболевания почек и печени в стадию рецидива;
- нарушение выделительной функции почек;
- воспалительные заболевания кожи в зоне инъекции;
- хроническая сердечная недостаточность в стадии декомпенсации.
Диагностическая ценность флебографии и методы ее проведения — рентгеноконтрастная и без введения контраста
Классическая флебография – это рентгенологический метод исследования венозной системы человека, который подразумевает внутривенное введение специального контраста.
Термин «флебография» в дословном переводе с латыни означает «изображение вен» (fleb – вена, graf – изображение), поэтому это обследование также называют венографией. Сейчас для проведения данной процедуры используют также аппараты УЗИ, магнитно-резонансную (МРТ) и компьютерную (КТ) томографию.
Венография и ангиография — в чем разница?
Ангиография – это метод исследования сосудистой системы человека, включающий в себя артериографию, флебографию и лимфографию.
Другими словами, рентгенологическое исследование любых сосудов тела человека будет относиться к этому методу. Соответственно, показаниями для проведения такого обследования будут заболевания не только вен (как для флебографии), но и другие сосудистые патологии (инсульт, пороки развития коронарных сосудов и сосудов головного мозга, болезни лимфатической системы и т.д.).
Показания к проведению исследования
Показания для назначения процедуры могут быть следующие:
- Варикозная болезнь вен нижних конечностей или малого таза;
- Тромбофлебиты и посттромбофлебические осложнения;
- Наличие отеков на ногах неясной этиологии;
- Проверка состояния венозных клапанов;
- Определение степени проходимости вен;
- Дифференциальная диагностика при наличии трофических язв на ногах.
Противопоказания
Противопоказаний к проведению данного метода обследования не так уж много. Абсолютными противопоказаниями к рентгенологической венографии являются:
- Аллергия у пациента на йод — он входит в состав почти всех рентгеноконтрастных препаратов.
- Острые заболевания печени и почек или обострение хронических – это может усугубить состояние больного органа и ухудшить общее состояние больного.
- Воспалительные заболевания вен.
- Заболевания щитовидной железы.
К относительным противопоказаниям относят беременность, атеросклероз сосудов ног и преклонный возраст пациента.
Для обследования с помощью аппарата МРТ вышеперечисленные факторы противопоказаниями не являются, но в этом случае нельзя проводить процедуру, если:
- У пациента в теле есть металлические имплантаты.
- У больного клаустрофобия.
- Пациент с высокой степенью ожирения (весом свыше 120 кг).
- Пациентка беременна.
Для проведения УЗИ-диагностики ограничений почти нет, потому что это метод неинвазивный и не требует никакой подготовки от пациента.
При наличии отеков у пациента проведение исследования возможно, но при сильной отечности результаты могут быть недостоверны.
Возможные осложнения
После проведения венографии осложнения возникают крайне редко, связаны они могут быть с введением контрастного вещества в венозное русло.
- Аллергическая реакция – может возникнуть, если не был собран аллергологический анамнез или пациент не знал, что у него аллергия на йодсодержащие препараты. Для предотвращения подобных случаев перед исследованием проводят аллергопробы.
- Воспалительная реакция в месте прокола – возникает при несоблюдении правил антисептики.
Виды флебографии
В зависимости от того, какой аппарат используют для исследования сосудов, различают несколько видов флебографии.
Рентгеноконтрастная (классическая)
Самая часто применяемая методика. Проводится с использованием обычного рентгена. Пациента укладывают на стол, внутривенно вводят рентгеноконтрастное вещество и делают ряд снимков (по мере распространения контраста по венам).
При венографии нижних конечностей на обследуемую ногу могут наложить жгут для лучшего распространения контраста.
Ультразвуковая
Этот вид исследования применяется наравне с предыдущим благодаря быстроте и безопасности проведения, а также оснащенности медучреждений. Эта методика позволяет выявить нарушения на ранних стадиях и провести общую оценку состояния вен.
МРТ-венография
Ее используют в основном для запечатления вен головного мозга. Этот вид венографии проводится без введения рентгеноконтраста, так как томограф дает возможность подробно рассмотреть вены головного мозга без применения дополнительных препаратов.
МР-флебография позволяет получить качественные высокоточные послойные снимки, на которых опытный специалист может заметить даже небольшое отклонение от нормы.
КТ-флебография
При данном виде обследования используется рентгеновское излучение, но информация обрабатывается компьютером. После обработки создается послойное изображение исследуемой области. Так как изображение получают посредством рентген-лучей, при проведении КТ-венографии пациенту также вводят контраст. По окончанию обследования компьютер выдает трехмерное изображение сосудов, что позволяет с высокой точностью определить локализацию патологических процессов.
Рентгеноконтрастные вещества
Для внутривенного введения при процедуре флебографии используют препараты, содержащие йод. Это обусловлено его способностью поглощать R-лучи, что улучшает визуализацию при обследовании. Используют Уротраст, Верографин, Уроерафин.
Наряду с ними применяются и неионные препараты – Омнипак и Ультравист. Преимущества неионных рентгеноконтрастов в том, что они практически не вызывают аллергических реакций и дают более четкую картинку. Этим обуславливается и выбор специалистов в пользу препаратов нового поколения для проведения исследования.
После введения контраста пациент может почувствовать тепло в венах или легкое головокружение и тошноту – это вполне нормальная реакция. Но если пациент отмечает появление сильной тошноты и рвоты, зуда, затруднения дыхания, появление сыпи, то это говорит о проявлении аллергии на препарат. В таком случае необходимо сразу прекратить введение контраста и, по возможности, провести инфузию физраствором (для скорейшего выведения препарата из организма).
В случае более тяжелых реакций (отек гортани, бронхоспазм, гипотензия, анафилактический шок) медперсонал должен вызвать реанимационную бригаду, а до их прибытия оказывать помощь больному, согласно инструкции (подача кислорода, поддержание вены, введение адреналина и т.д.).
Подготовка пациента к исследованию
К процедуре подготовки к венографии можно отнести проведение аллергопробы на контраст. За сутки до исследования пациенту вводят в вену небольшое количество рентгеноконтрастного вещества и следят за реакцией организма. Если гиперчувствительность не выявлена, то можно проводить процедуру.
Методы и алгоритм проведения
В зависимости от того, куда и как вводится контраст и как проводится исследование, различают несколько видов венографии.
Непрямая или внутрикостная
Препарат вводится в губчатое вещество кости, откуда оттекает в сосуды. При проколе пациент лежит, затем переводится в вертикальное положение, делают несколько снимков. Длительность процедуры до 1 часа.
Прямая или внутривенная
Препарат вводят пациенту внутривенно в положении стоя. Исследование может занять от 30 до 60 минут. Внутривенная флебография делится на восходящую и ретроградную.
- Восходящая (дистальная) проводится в тех случаях, когда необходимо изучить очертания вен, их наполняемость, скорость кровотока. Снимки делают в двух проекциях — при этом сдавливают конечность эластичным бинтом.
- Ретроградная (проксимальная) дает возможность оценить работу клапанного аппарата вен. При проведении процедуры пациента просят выполнять специальные дыхательные упражнения (прием Вальсальвы).
Югулярная
Проводится с целью регистрации центрального венного пульса. Процедуру проводят в положении лежа с приподнятым головным концом при задержке дыхания на выдохе. Пациенту устанавливают датчик справа над ключицей – он фиксирует изменения степени кровенаполнения яремной вены.
Более информативна венография, проведенная с использованием бесконтактного датчика, так как исключает сдавливание вены. Часто югулярную флебограмму записывают вместе с ЭКГ и ФКГ.
Интерпретация результатов
Расшифровку классической флебографии проводит рентгенолог, при проведении КТ, МРТ или УЗИ диагностики – обследующий специалист.
При нормальной флебографии в расшифровке обследования врач укажет, что сохранена проходимость и наполняемость вен, функции клапанного аппарата в норме, обрыва контраста не обнаружено. Если флебограмма выявила какие-то отклонения от нормы, специалист отразит это в заключении.
- Флебография вен нижних конечностей: при венографии нижних конечностей это может быть сужение просвета вены или обрыв контраста (при тромбозе или атеросклерозе), выявленный сброс венозной крови из глубоких вен в поверхностные и окрашивание контрастом нетипичных участков (при варикозной болезни).
- Флебография вен малого таза: в заключении после обследования тазовых вен могут быть указаны такие отклонения: расширения вен (говорит о варикозе) или обрыв изображения (при тромбофлебите).
Флебография головного мозга: по результатам венографии головного мозга могут быть выявлены различные нарушения – от тромбофлебита до аномальных образований и аневризм. Они также будут характеризоваться прерыванием венозного рисунка или, наоборот, подсвечиванием нестандартных зон.Исследование вен печени. При проведении исследования венозных сосудов печени, может быть выявлено нарушение оттока крови, что говорит о тромбофлебите.Флебография почечной вены проводится чаще всего для выявления тромбов или аневризмы. В этих случаях на снимках будет наблюдаться сужение или прекращения венозного рисунка, или его расширение, соответственно.
Стоимость обследования сосудов
Цена на флебографию варьируется в зависимости от вида и метода исследования, используемого контрастного препарата, региона и других факторов. В среднем по стране венография обходится в 10-15 тыс. рублей. Так, можно пройти обследование вен нижних конечностей по цене от 6000 руб., КТ и МРТ – от 5000 руб., проверить вены малого таза от 15000 руб.
Флебография имеет высокую диагностическую ценность при выявлении многих серьезных патологий. С развитием медицинских технологий, снимки получаются все более точными и качественными – это дает возможность поставить точный диагноз и определить подходящий метод лечения заболевания даже на ранних стадиях.
Флебография нижних конечностей, малого таза, мозга — особенности процедуры
Традиционный рентген не дает возможности осмотреть на результирующем изображении структуру сосудов. Решение данной проблемы было найдено в практически безопасном методе венозного обследования. Флебография вен – так называется способ рентгена сосудистой системы с последующим выделением ее элементов на снимке.
Флебография вен: что это такое? Зачем ее проводят?

Также описываемую процедуру определяют как рентгеноконтрастную восходящую флебографию, поскольку вещество, поступающее в вену, распространяется по системе снизу вверх.
Необходимость в проведении подобного рентгенологического исследования возникает при подтверждении факта наличия тромбоза глубоких вен и дифференциации этого заболевания с другими патологиями. Что конкретно можно увидеть на флебограммах? Процедура дает возможность рассмотреть:
- присутствие и степень поражения глубоких сосудов;
- патологический сброс крови из поврежденных вен в поверхностную сосудистую систему;
- поражения клапанного венозного аппарата;
- врожденные аномалии в строении венозной системы.
На наличие той или иной патологии доктору могут указать следующие явления: дефекты наполнения сети, изменение направления распределения контраста, резкий обрыв распространения вещества.
Особенности процедуры
Диагностика сосудистых заболеваний, предусматривающая введение рентгеноконтрастного вещества, проводится практически на любом участке тела. Чаще всего к подобной мере прибегают при выявлении патологий сосудов ног, вен малого таза и головного мозга.
Каждая из упомянутых процедур имеет свою специфику в процессе подготовки пациента к флебографии и проведении исследования.
Флебография нижних конечностей
К проведению флебографии вен нижних конечностей прибегают при следующих обстоятельствах:
- наличие кровяного сгустка в полости глубокого сосуда голени, бедра;
- варикозное расширение вен на ногах (для подтверждения предполагаемого диагноза);
- нарушения трофики тканей, имеющие неясную природу. Речь идет об отечности, болевом синдроме, язвенных дефектах;
- отсутствие эффективности консервативного лечения варикоза;
- необходимость во взятии венозного участка в целях шунтирования коронарных артерий.
Флебография нижних конечностей отличается высокой результативностью, доступностью и относительной безопасностью.
Подготовительный этап
Утром в день проведения процедуры пациенту можно выпить только стакан воды, кушать не рекомендуется. Это ограничение связано с вероятным проявлением необычной реакции организма на введение контраста. Ответом на контрастный препарат может быть тошнота, переходящая в рвоту.
Ход диагностики
Процедура проводится в рентгенологическом отделении. Обследование осуществляется по следующему алгоритму:
- Перед тем как ввести препарат, больного укладывают на стол.
- Специалистом определяется вена в области голени или стопы, в которую будет вводиться контрастное вещество.
- Под действием местной анестезии вена прокалывается или немного надрезается.
- Доктор вводит препарат в количестве около 20 мл.
- Если необходимо, на конечность накладывают жгут в целях наилучшего распределения препарата по венозной сети.
- Проводится серия снимков, жгут снимают.
- В исследуемый сосуд вводят немного физраствора.
На этом процесс рентгеноконтрасной восходящей флебографии ног завершается – пациент может ожидать результатов.
Продолжительность сеанса – 30-40 минут, максимум час. Обычно пациент не испытывает дискомфорта. В некоторых случаях отмечается боль при проколе сосуда и небольшая тошнота, головокружение в процессе введения препарата.
Флебография головного мозга
Венографию (ангиографию) головного мозга назначают при диагностике или оценке результатов консервативной или оперативной терапии следующих патологий:
- тромбоз синусов вен;
- закупорка сосудов Галена, внутренней венозной системы головного мозга;
- спутанность сознания, мигрени, сонливость, обморочное состояние;
- ранее развивающийся энцефалит, менингит в случае высокого риска образования тромбов;
- подозрение на опухоль венозного синуса твердой оболочки органа.
Отличается такой вид диагностики отсутствием необходимости во введении контраста (чаще всего). В качестве альтернативы применяется МРТ, позволяющая получить объемный снимок сосудистой системы мозга.
Подготовка больного
Особых подготовительных мер до проведения диагностики принимать не нужно. Кушать можно в любой период, в том числе и непосредственно перед обследованием.
Перед тем как войти в кабинет, пациента попросят снять с себя все предметы из металла (часы, украшения и пр.). Здесь же предстоит оставить и некоторые прочие вещи (съемные зубные протезы, кредитки, слуховой аппарат и др.).
Проведение исследования
Диагностика сосудов головного мозга с помощью томографа проводится традиционным способом:
- Пациент проходит в кабинет и укладывается на передвигающийся стол, который со временем переместится в центр кольца.
- Если необходимо, больному вводят контрастное вещество.
- В случае психических отклонений и плохого контроля пациента на этом этапе человеку вводят и седативные препараты.
- Пациента закрепляют специальными ремнями, врач покидает кабинет и остается следить за ходом процедуры из соседнего помещения.
- Стол постепенно движется внутрь тоннеля, аппарат улавливает и регистрирует сигналы, отраженные от сосудистой системы головного мозга.
- На выходе получаются снимки для последующего врачебного анализа.
В ходе процедуры пациенту необходимо оставаться в неподвижном положении для обеспечения наивысшей результативности обследования.
Обычно больной не испытывает болевых ощущений в процессе диагностики, длительность которой составляет 20-30 минут.
Флебография вен малого таза
К проведению рентгеноконтрастной восходящей флебография органов малого таза прибегают чаще всего в онкологических клиниках. Основными показаниями к процедуре выступают:
- подозрение на новообразование;
- разрастание опухоли;
- исследование метастазирования в лимфоузлы по ходу подвздошных сосудов;
- оценка результатов осуществленной лучевой терапии;
- аномалии в развитии венозной сети;
- варикоз вен;
- тромбоз.
Различают несколько видов подобных процедур: тазовая флебография с введением контрастного вещества в костную ткань таза, в сосуды бедра или в мышцы детородного органа.
Особенности подготовки
Как и в случае с любым рентгеноконтрастным обследованием, подготовка к процедуре предусматривает ограничение приема пищи накануне исследования по причине вероятной тошноты при использовании контраста. В день проведения манипуляции пациенту можно пить воду.
Специфика проведения рентгена
Флебография через матку проводится инвазивным способом, поэтому может сопровождаться некоторым дискомфортом для больного. Процедура выглядит следующим образом:
- В ходе гинекологического осмотра в шейку матки вводится проводник, продвигающийся ко дну детородного органа.
- Когда проводник достигает маточного дна, делается укол стенки органа не более чем на 4 мм.
- Через катетер вводится контрастный препарат.
- Спустя 20 минут делаются снимки для оценки состояния органа. Вся процедура занимает около 30-ти минут.
Риск перфорации маточной стенки минимизируется, если применяются проводники не металлические, а фторопластовые.
Осложнения и противопоказания
Самый неблагоприятный исход процедуры – анафилактическая реакция на контрастный препарат. Состояние проявляется в форме заметного отека тканей, возбуждения, страха приближающейся смерти, помутнения в глазах, низкого давления, удушья. При подобных обстоятельствах пациент может умереть, если не будет проведена соответствующая помощь.
В процессе прохождения контраста по венам у больного может проявиться тошнота, ощущение тепла и небольших колик в области введения вещества. В редких случаях появляется легкая боль. При внутривенном введении препарата может возникнуть перфорация сосуда, развиться флебит в месте прокола.
Внутриматочное поступление лекарства очень редко приводит к прободению органа, развитию эндометрита. При МРТ-диагностике побочные явления и осложнения неощутимы.
Когда процедуру делать нельзя?
В таблице ниже приведем ряд обстоятельств, при которых рентгеноконтрастная флебография противопоказана. Здесь же отобразим ограничения в случае МРТ – диагностики:
| Противопоказания к флебографии | Ограничения к МРТ-исследованию |
|---|---|
|
|
Итак, флебография венозной сети помогает сделать оценку состояния клапанного аппарата, проходимость сосуда и выявить тромб. Посредством этого диагностического метода можно определить причину отека, трофических нарушений ног, поставить диагноз в случае хронического тазового болевого синдрома, а также исследовать сосудистую систему головного мозга при подозрении на синусовый тромбоз и опухоль. Манипуляция может предусматривать контрастирование вен и рентген или только МРТ. Флебография доступна, хорошо изучена и относительно безопасна для здоровья.










